뇌경색 초기증상 총정리
바쁘신분들을 위해 민첩하게 뇌경색 초기증상에 대하여서 정리하겠습니다.
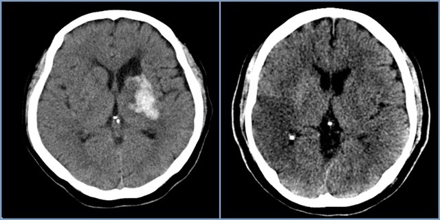
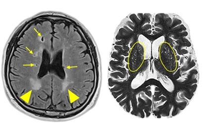
뇌경색 초기증상에 대하므로 살펴볼게요니다. 뇌에도 혈관이 있어서 피가 흐르고 있어요. 뇌에 있는 혈관이 막혀서 뇌의 일부가 손상되는 것을 뇌경색이라고 말해요. 뇌혈관이 막혀 뇌가 손상되면 장애가 발생할수 도 있으므로 뇌 연관 질환은 각별한 주의가 필요해요.
뇌에 제공되는 혈액량이 줄어들게면 뇌가 수습해야 되는 역할들을 제대로 실행해 낼 수 없게 돼요. 뇌혈류가 연속적으로 감소되면 뇌조직에 괴사가 시작되고 괴사된 뇌조직이 회복 불가능한 상태가 되면 뇌경색이라고 진단을합니다. 그러므로 뇌경색 초기증상을 알아두고 방지해억제해하시는게 중요해요.






뇌경색의 까닭
뇌경색의 주된 이유가 되는 것은 혈전이지요. 혈전이란 혈관 속에 피가 굳어진 덩어리를 얘기하는데 이것이 혈관을 막는 것이 뇌경색에 큰 영향을 줄 수 있습니다. 평균적으로 많이 발생하는 연령대는 5~60대이지요. 뇌경색은 양쪽 뇌에 모두 나타나는는 것이 아니라 주로 한쪽 뇌에만 발생하지만, 주로 한쪽 팔다리가 마비되었다거나 얼굴 근육이 굳어버리기도 해요. 그렇기에 뇌경색 초기증상이 발생한다면 민첩하게 대응를 해야 하겠습니다.
또 뇌경색의 까닭은 혈관의 협착을 유발시키는 동맥경화증이고요. 동양에서는 뇌내동맥경화증이, 서양에서는 경동맥동맥경화증이 많이 나타나고다. 그리고 흡연, 고지혈증, 당뇨병, 고혈압, 건강에 옳지 않은 식습관, 스트레스 등도 뇌경색을 발생시키는 위험요인입니다.모든 질병에 단일 이유가 되는 것이 없듯이 뇌경색도 단일 이유가 되는 것이 아닐 수 있고요.
뇌경색 초기증상 총정리.
뇌경색 초기증상 1 감각 이상
뇌경색 초기증상 첫번째는 감각 이상이라고 합니다. 좌뇌와 우뇌는 서로 반대편의 사람의 몸를 관장하기 때문에 뇌경색이 발생하면 발생한 뇌 부위의 반대쪽 얼굴, 팔, 다리의 감각에 문제가 있어 운동실력이 감소하고 마비가 생기게 됩니다. 이러한 감각 이상은 다양한 방식으로 돋아나는데 얼굴 표정이 비대칭이 된다던지 걷는 것이 어려워 질 수 있습니다.
뇌경색 초기증상 2 피로감
뇌경색이 오면 극심한 피로감이 느껴질 수 있다는데 일반적인 피로감과는 다르게 머리가 무겁고 생활하기 힘들 정도로 피곤함이 심하게 느껴집니다. 졸려서 자야겠다는 생각했던 것 보다 머리가 무거워서 좀 자야겠다는 생각이 들 정도로 머리와 목덜미 부근이 뻐근함을 느끼게 되고 있는데, 이 때 잠을 자면 자칫 더 위험한 추세이 올 수 있으니까 잠을 자지 않는게 좋아요. 보통 때 혈압이 높기도하고 콜레스테롤 수치가 높은 사람이 이 같은 증세가 나타나면 바로 도움을 받아 병원으로 가야하고요. 또한 뇌경색을 경험했던 분들이라면 재발일 가능성이 높기 때문에 이 또한 때맞은 도움을 받을 필요가 있고요.






뇌경색 초기증상 3 어지럼증
뇌경색 초기증상 두번째는 어지럼증이라고 합니다. 뇌경색은 뇌에 혈액순환이 잘 되지 않는 것이기 때문에 마땅히도 어지럼증을 느끼게 된다 하였습니다. 각 세포에 혈액속 산소가 원만하게 공급이 되어야 우리 몸이 튼튼하게 유지가 됩니다. 특히나뇌에 산소공급이 중단이 되게 되면 어지럼증이 아주 신속하게 나타나는 되었다면가 흔해요. 어지럼증은 낙상등의 스탭에서 2차적인 사고가 일어날 가능성이 높으므로 평소보다 어지럼증을 자주 치룬다면 절대 너무 쉽게 여기지 마시고 병원으로 바로 방문하는게 좋다고해요.
뇌경색 초기증상 4 난폭한 두통
뇌경색은 두뇌로 인해 출현하는 질환으로 보통 때 두통과 같지않게 머리가 터질 것 같고 목 뒤가 땅기는 느낌이 강하게 체감할 수가 있다고 합니다. 심하게는 뒤는 어지럼증과 구토가 또한 다가오기도 하고요. 머리가 평소보다 심하게 아프고 이런 증상이 계속된다면 뇌경색 초기증상이 아닌지 의문스러워해봐야 해요. 두통은 적당히 시간이 지나면 대다수 괜찮아진다고 하고요. 하지만 몸살이 출현하고, 이 스트레스로 인해서 그냥 한시적으로 나타나는는게다라고 관념을 하면서 안심지어 안 되요.
또한, 세차게 현기증이 생기한 경우 혹은 발이 휘청거리게 된다면 작은 문제라고 관념을 하면 안 되고, 이런 증상들이 발생하면 절대 단순명확한 문제라고 생각하지 말고, 필수로 진찰 봐주는 것을 장려합니다.






뇌경색 초기증상 5 편마비
뇌경색 초기증상으로 편마비를 특징적으로 볼 수 있다고 합니다. 편마비는 왼편이나 우측만 마비되는 증상을 말하더라고요. 좌측 팔과 왼쪽 다리 또는 오른편 팔과 오른편 다리에 저림 증상과 경미한 마비 증상이 나타날수 있고요. 증상이 빠르게 호전되는 경우도 있지만 뇌경색이 이미 시작됐다면 편마비 증상이 오래 가는 경우도 있다고 합니다. 편마비 증상이 수시로 생겨난다면 즉시 병원을 찾아 전문의와 면담하는게 좋좋습니다.
뇌경색 초기증상 6 사물이 복시로 보이는 경우
뇌경색 초기증상으로 복시를 예로 들수 있다는데요 후두엽의 혈관이 막히면 시력 저하나 복시가 보여집니다니다. 또한 단순히 시력 상실이라기보다는 텍스트나 사물이 겹쳐 잘 보이지 않는 증상이예요.그래서 보통 시력이 점점 감량하게 되었는존재하는데 뇌경색의 경우 가파르게 시력이 떨어한 경우 혹은 한쪽 눈이 안 보이게 되는 추세가 있습니다.






뇌경색 초기증상 7 안면 근육 마비
안면 신경을 관장하는 뇌혈관이 막힐 경우 입이 삐뚤어지는 증상과 안면 근육이 틀어지거나 마비되는 증상이 발생할 수 있다고 합니다. 안면마비의 경우 뇌경색이 전대 뇌동맥에 발생하여 일어나는 되었다면로제일 일반적으로 일어나는 증상이예요. 이이것만이 아니라 하체 쪽에도 마비 증상이 찾아오거나 감각 상실과 같은 증상이 나타날수 있습니다.
뇌경색 초기증상 8 보행장애
뇌경색 초기증상 여덟번째는 보행장애이라고 합니다. 걷기가 어려울 수 있고요. 뇌경색이 발생하면 균형이 어려워지고 한쪽으로 계속 기울어져 넘어지는데 이유 없이 급작스레 빈번히 넘어진다면 뇌경색을 의심하는게 최고 좋아요.






뇌경색 초기증상 9 언어의 장애
말을 뱉을 때, 혀가 굳는 느낌이 들면서 발음이 잘 되지 않는지 생각을 해보아야 하고요. 뇌혈관에 혈액순환 장애가 생기게 보면, 이로 인해서 이런 증상들이 일으켜서난다고 하는데, 뇌경색 전조증상 중 대표적인 증상이예요.
상대방과의 대화에서나 책을 읽어갔는데, 자신이 이해력이 저하된 느낌이거나 자신의 발음이 원래의 자신보다 어눌해지는 모습을 보인다고 해요. 뇌경색과 비슷한 증상이 생긴다면, 일단 맥시멈이 신속하게 뇌경색을 전문적으로 다루는 병원을 가보는 게 좋좋다고해요.
뇌경색 초기증상 10. 구토 발생
구토 증상은 건강에 안좋아진 신호등이 켜진 것이며, 뇌경색으로 뇌에 문제가 발생하면 구토가 나올 수도 있어요. 뇌경색을 겪게하다 보면서 어지럼증과 동반해 구토가 같이 나오게 됩니다. 그렇기에, 뇌경색으로 두뇌 쪽에 문제가 발생하면 구토를 하게 되기도 합니다. 까닭을 알 수 없는 구토가 계속된다면 반드시 뇌경색을 수상해보는 것이 좋으니까 참고하길 바라고요.






뇌경색 예방법
뇌경색을 예방하기 위해서는 위험요인의 관리가 최고 중요합니다. 고혈압, 당뇨, 심장질환, 고지혈증, 비만, 수면무호흡증, 운동부족, 과음 등으로부터 우리 몸을 담당하는는 것이 뇌경색 예방의 첫번째이라고 합니다. 설령위에 나열한 위험인자를 차지하고어있는 사람은 그렇지 않은 사람에 비교했을 때 뇌경색이 나타날 가능성이 크므로 평상시에 혈압관리, 당뇨관리, 동물성 지방이나 콜레스테롤을 줄인 좋은 식단, 금연과 절주, 꾸준한 운동을 생활화하시는게 중요하고요.
뇌경색 치료
뇌경색은 병에 걸려 후 얼마나 빨리 치료를 착수하는지에 따라 병의 증세가 결심되기도 합니다. 증상이 발생하면 아주많이 빨리 병원을 가서 초급성기 치료를 받아야합니다. 급성기 치료 후에는 이유가 되는 것에 따라 재발 방지를 위한 치료를 하게 되며 후유증에 대한 재활치료도 가능한 한 빨리 실행하는는게게 좋바람직해요. 증상이 처음 나타난 후 4~5시간이 경과하지 않으신다면 주사 제제를 통한 혈전용해술을 시도해 볼 수 있어요. 그리고 24시간이 경과하지 않았고 대뇌혈관이 막힌 것을 확인했으면 막힌 혈관에 대하여서 스텐트 투여술과 같은 기계적 재개통술을 시도할 수 있습니다.






뇌경색 후유증
뇌경색 후유증은 제대로 걷지 못하며, 말을 잘 못하였거나, 나의 의지와는 다르게 출현하는 문제점들이 일어날 있다고 합니다. 그렇기에 뇌경색 초기증상이 발견될 시 날쌔게 조치를 해야 후유증이 희박합니다 뇌경색이 오면 후유증이 남는 것이 기본이며 일주일 안으로 나타나게 된다고 해요. 이 기간이 지나도 병의 증세가 없다고 하나 서서히 회복이 되는 단계에 있다고 보시면 되기도 합니다 뇌경색 후유증은 3개월에서 6개월 사이에 서서히 회복 될 수 있습니다. 치료가 늦어져서 뇌경색 후유증이 절박하게 자리잡게 된다면 일상생활이 어려울 정도로 사람의 몸에 이상이 있는 상태가 지켜질 수 있어요.
신속하게 뇌경색 초기증상에 관한 내용을 정리해드렸는데 도움이 되셨나요? 제 글이 조금이나마 도움이 되었기를 기원합니다.






2023.12.20 - [분류 전체보기] - 구기자 효능, 13가지 총정리
구기자 효능, 13가지 총정리
안녕하세요, 꾸준히 관심받고있는 구기자에 대해서 오늘은 포스팅을 하려고합니다. 이 구기자 모두들 한번쯤은 검색을 해보셨을텐데요, 내용 정리해드리겠습니다. 소화 개선: 구기자 효능 구기
infohunting.writing-info.com